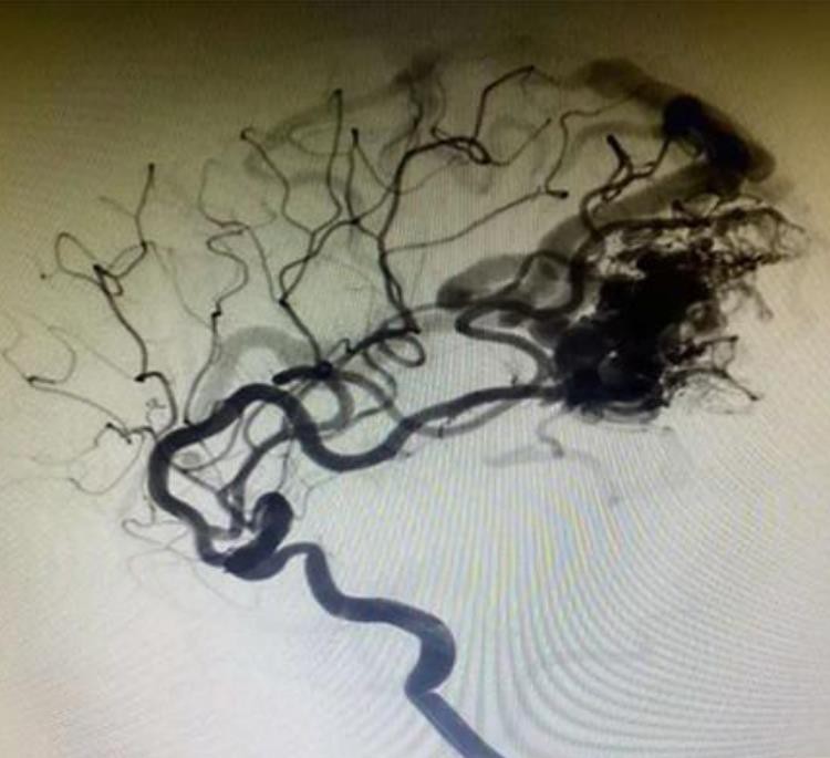
Lava -12 Intracranial aneurysms vökvakerfi
Þegar hraunTMInnra brjóstholsvökvi vökvakerfi er í snertingu við blóðið eða hvers konar vatnslausn, yfirborð þess mun strax storkna og mynda hlífðarfilmu. DMSO í Embolic lyfinu er þynnt og dreifður í blóði, þannig að tantalduft vafið af Evoh er fellt út og storknað að utan að innan. Á sama tíma dreifist hraun langt í burtu undir innspýtingarþrýstingi. Að lokum myndar það svampaðan emcolic líkamann við embolisering stöðu.

HraunTMEmpolization kerfið er úr aneurysm er úr efni sem ekki er límt, þannig að það er öruggara og ekki stafar legginn.
Það er einstök lág-seigjuformúla með fullkomnu úrvali af líkönum hraun -12, hraun -18 og hraun -34.
Það hefur betri dreifingu og skarpskyggni. og það getur djúpt komist inn í meinsemdina og náð distal skipinu.
Tantal duftið er fínni, hægar botnfall og skýrari röntgenmynd samanborið við keppendur.

Athugasemdir fyrirInnrekandi aneurysm
● Fylgstu með því hvort hraunvökvi Embolic umboðsmaður storknar, ef svo er, þá þarf að þiðna það í fyrsta lagi.
● Settu hraun fljótandi embiclicent á titringinn.
● Stilltu titrara að háu stigi.
● Ekki minna en 20 mínútur fyrir hristing
● Þar til það er notað.
|
Vörukóði |
Seigja |
Lýsingar |
|
Lava -12 |
12 CST |
Lægri seigja, meiri vökvi, fyrir distal microvessles; |
|
Lava -18 |
18 CST |
Hefðbundin formúla, almenn notkun; |
|
Lava -34 |
34 CST |
Hærri seigja, fyrir há rennslisskip. |











